作者:林昌平教授,德國漢堡大學醫學博士,現任高雄德昌眼科院長
文章出處:www.eyecity.com.tw
圓錐角膜患者長期處於視力喪失的恐懼中,而圓錐角膜併發的「急性角膜水腫」,所造成的突然視力喪失、畏光、疼痛等症狀,更讓圓錐角膜患者陷入極端的恐慌與沮喪。雖然這症狀可發生於各種角膜變形的疾病,但最普遍的就是圓錐角膜。
好發於男性,可採取保守性觀察與治療
它的致病機轉是因為角膜嚴重變形,每當受到輕微傷害,例如:揉眼睛造成角膜彈力層破裂,房水從裂縫滲入角膜基質,便會累積水分於膠原蛋白中,造成層狀分裂,形成大水泡,甚至進一步到達表皮下形成水泡,導致表皮破裂、疼痛。

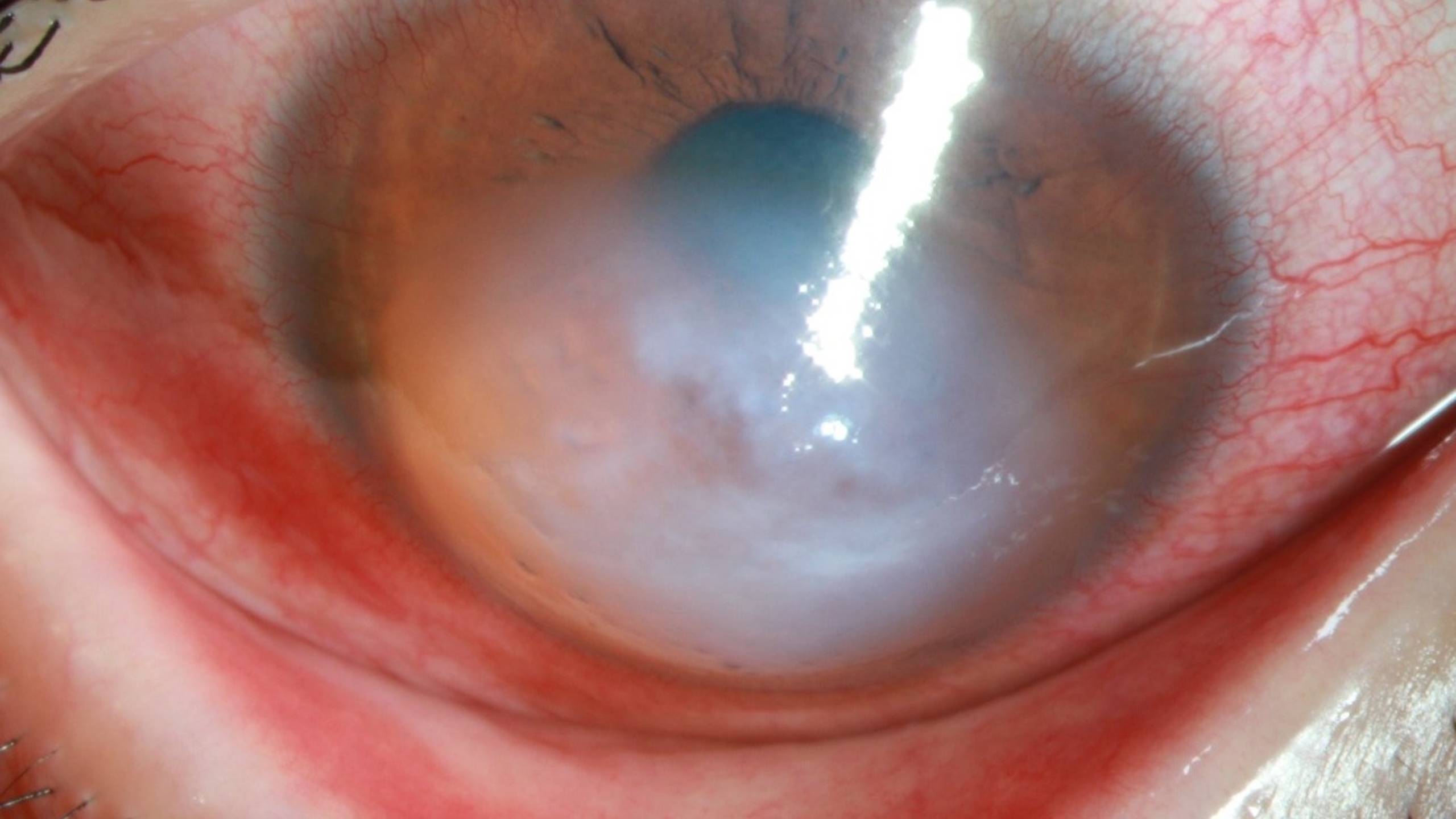
局部角膜水腫
此症狀發生於二、三十歲的男性居多,發作前常伴隨激烈的揉眼睛動作。診斷以病史及細隙燈為主,細隙燈下可觀察到內有水泡或裂縫的局部基質水腫、表皮微小水泡、結膜紅腫;如果有彈力層破裂的地方,則會看到裂縫及捲曲的裂縫邊緣。加上簡單的角膜厚度測量,先進的眼前部光學同調斷層掃描(ASOCT)或超音波生物顯微鏡(UBM)皆有助於診斷、治療計畫的擬定、追蹤水腫部位大小以及恢復的程度。

基質水腫及表皮微小水泡
水腫的處理可以保守性觀察,給予抗生素、類固醇或非類固醇消炎藥水;散瞳劑可降低疼痛及畏光,降眼壓藥物可降低房水滲入角膜之程度,治療性隱形眼鏡也可緩解角膜破皮引起的疼痛。約在二、三個月後,內皮細胞會逐漸蓋住這個裂縫,房水不再灌入,水腫慢慢消退,留下角膜白斑。
積極性的治療方面,可以在前房內打入空氣或SF6、C3F8等膨脹氣體,利用氣體阻斷水分滲入角膜。空氣通常在一、二天內即被吸收,因此常需反覆注射;SF6 可維持約二週;C3F8維持更久,可以不用反覆注射。注射氣體的併發症包括眼壓升高、感染、傷害角膜內皮,或空氣竄入角膜基質等。氣體注射可加速水腫消退,但不論注射氣體與否,對癒後視力並無差別。更積極的治療可合併氣體注射加上AS-OCT 導引,從表皮用穿刺尖刀穿刺到基質的水囊,讓水由角膜表面排出,水腫可消得更快。
依症狀程度,評估是否需角膜移植
在急性發作期,做角膜移植並不恰當。因為水腫的緣故,要切下一個圓形且整齊的角膜並不容易,而且角膜厚度差異過大,都會導致隨後的縫合發生困難,應在水腫消退後才考慮角膜移植。若產生角膜廔管穿孔,還是不建議角膜移植,可考慮覆蓋羊膜或用組織黏劑黏住治療型隱形眼鏡。
水腫消退後會留下疤痕,也會讓角膜的弧度變平,對圓錐角膜的人來說,算是一個不得不接受的小確幸。實際上,有少數病例在水腫消退後,視力反而比發作前來得好。變平的角膜也有助於隱形眼鏡的驗配,但若疤痕嚴重或位於角膜中央,那還是要考慮角膜移植了。